
جرم (calculus ) چیست؟
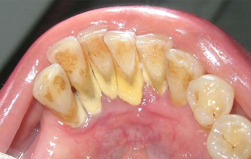
جرم که معمولا به عنوان رسوب (tartar) از آن یاد میشود، به پلاکهای سخت شده گفته میشود. در تصویر زیر مشاهده میکنید که جرم شبیه به یک لایه ضخیم خامه ای به دندان (در مرز دندان – لثه) چسبیده است.
تصویر پایین نیز عکسی است که از همین دهان پیش از تمیز کردن حرفه ای دهان گرفته شده است.
تصویر همین دندانها پس از جرمگیری در پایین آمده است:
جرم و رسوب چیست؟
جرم و رسوب در واقع یک چیز هستند. فرقی نمیکند به آن بگویید جرم یا رسوب، در هر صورت پلاکی است که بر سطح دندانها تشکیل شده و سپس سخت شده است.
بزاق کمک میکند دندانها با کلسیم موجود، آسیب ناشی از مصرف قند را ترمیم کنند اما متاسفانه همین کلسیم میتواند در ساخت پلاک روی دندان نیز استفاده شود و آن را به رسوب سخت تبدیل کند.
کتاب Carranza’s Clinical Periodontology جرم را به این صورت توضیح میدهد:
“رنگ آن معمولا سفید یا زرد مایل به سفید است و سختی آن مشابه گل بوده و به راحتی از سطح دندان جدا میشود. پس از زدودن جرم، ممکن است خیلی زود دوباره جرم تشکیل شود به خصوص در سطح زبانی (پشتی) دندانهای پیشین ماندیبولار. رنگ جرم تحت تاثیر تماس با مواد مختلف مانند تنباکو و رنگهای غذایی ممکن است تغییر کند. ”
جرم معمولا در کجا تشکیل میشود؟
جرم در هر گونه سطح دندانی و حتی زیر خط لثه تشکیل میشود. یکی از سطوحی که جرم به راحتی در آن پنهان میشود سطح پشتی دندانهای جلویی فک پایین است. غدد بزاق زیر زبان، کلسیم زیادی منتشر میکنند که به پلاکها کمک میکند سریعتر سخت شوند.
چگونه میتوان از تشکیل جرم و رسوب جلوگیری کرد؟
بهترین راه پیشگیری از تشکیل جرم، این است که حداقل دو بار در روز مسواک بزنید و نخ دندان بکشید. در کتاب Carranza’s Clinical Periodontology گفته شده است که پلاک میتواند ظرف چند ساعت فرایند معدنی سازی را شروع کند و در نتیجه سخت شود.
چگونه جرم را میتوان پاک کرد؟
به محض این که پلاک به جرم سخت تبدیل شود، تنها دندانپزشک میتواند آن را تمیز کند. دندانپزشک با استفاده از ابزارهای فلزی مخصوص یا ابزار اولتراسونیک دندانپزشکی، جرمها را پاک میکند.
به خاطر داشته باشید باید مرتبا به دندانپزشک مراجعه کنید تا هر گونه جرم و پلاک تشکیل شده در دهانتان را خیلی زود بزداید.
اگر جرم گیری نکنم، چه اتفاقی می افتد؟
اگر هرگز برای جرم گیری به دندانپزشک مراجعه نکنید و مرتبا جرمهای دندانتان را پاک نکنید، به مرور زمان لثه ها تحریک شده و بیماری لثه و پس از آن بیماری پریودنتال ایجاد میشود که یکی از عوامل اصلی از دست دادن دندان است.
اگر دوباره به تصاویر بالا نگاه کنید، میبینید که لثه های بیمار دچار پسروی شده اند که علت آن تحریک و التهاب ناشی از رسوب و جرمهای موجود در سطح دندان است.
اگر جرم روی دندانتان مشهود است، این امکان وجود دارد که در زیر خط لثه نیز جرم تشکیل شده باشد بنابراین حتما باید دندانپزشک دهان شما را معاینه کند و دندانهایتان را کامل تمیز کند تا از هر گونه بیماری لثه اجتناب شود.
نتیجه
به طور کلی میدانیم که باکتریها در سطح دندان وجود دارند و به واسطه غذاهایی که میخوریم، رشد میکنند و پلاک تشکیل میدهند. اگر پلاک را با مسواک و نخ دندان از بین نبریم، سخت شده و به پلاک معدنی شده یا همان رسوب تبدیل میشوند. در صورتی که باز هم زدوده نشوند، لثه ها را تحریک کرده و به مرور بیماری لثه ایجاد میکنند. بنابراین اهمیت دادن به جرم دندان برای سلامت دهان و دندان و سلامت عمومی اهمیت بسزایی دارد.



